El sistema cardiovascular, compuesto por el corazón y los vasos sanguíneos, es esencial para transportar la sangre a todos los tejidos del cuerpo. Dentro de este sistema, la vena cava superior (VCS) juega un papel crucial al recolectar sangre desoxigenada de la parte superior del cuerpo.
Esta importante vena se localiza cerca del corazón y recoge sangre de los troncos braquiocefálicos. Se origina en la parte superior del tórax, donde el tronco venoso derecho y el izquierdo se unen, para luego descender y desembocar en la aurícula derecha. La VCS se encuentra en el mediastino superior, a la derecha de la tráquea y posterolateral a la aorta ascendente. Su pared es delgada y la sangre fluye a baja presión. El nervio frénico se sitúa entre la VCS y la pleura mediastínica.

La vena cava superior es una de las dos venas más importantes del cuerpo humano. Es un tronco venoso o vena de gran calibre que recoge la sangre de la cabeza, el cuello, los miembros superiores y el tórax. Se origina en la confluencia entre los dos troncos venosos braquiocefálicos derecho e izquierdo, a la altura del primer cartílago costal. Sigue su trayecto inferior y termina a la altura del tercer cartílago costal, por donde ingresa a la aurícula derecha.
Anomalías de la Vena Cava Superior
Una de las anomalías más comunes del drenaje venoso del tórax es la vena cava superior izquierda persistente (VCSI). Esta condición, propia del desarrollo fetal, ocurre cuando la vena cava superior izquierda no se oblitera (cierra) adecuadamente después del nacimiento. Generalmente, esta vena anómala drena en la aurícula izquierda del corazón.
La persistencia de la VCSI puede ser un hallazgo incidental durante procedimientos médicos, como la inserción de catéteres venosos centrales. Su diagnóstico se puede realizar mediante diversas técnicas de imagen.

La VCSI se observa en aproximadamente el 0,3% al 0,5% de la población general y en un porcentaje mayor (hasta el 12%) de pacientes con cardiopatías congénitas. En la mayoría de los casos (80-92%), la VCSI drena en la aurícula derecha a través del seno coronario, sin causar manifestaciones clínicas significativas. Sin embargo, en un 10-20% de los casos, puede drenar directamente en la aurícula izquierda, lo que puede generar un cortocircuito considerable y requerir corrección quirúrgica.
La VCSI se asocia frecuentemente con otras anomalías congénitas, como defectos septales (ventriculares y auriculares), coartación de aorta, transposición de grandes vasos, tetralogía de Fallot y conexiones anómalas de venas pulmonares. Por ello, ante el hallazgo de una VCSI, es fundamental realizar una búsqueda exhaustiva de otras malformaciones cardíacas congénitas.
Diagnóstico de la VCSI
El principal hallazgo ecocardiográfico que sugiere la presencia de VCSI es un seno coronario dilatado. Para confirmar el diagnóstico, se pueden emplear diversas técnicas de imagen:
- Ecocardiograma transtorácico y transesofágico
- Venografía por tomografía computarizada (TC) multicorte
- Resonancia magnética nuclear (RMN)
La venografía por TC multicorte es considerada la modalidad estándar para el diagnóstico. La inyección de solución salina agitada a través de una vena del miembro superior también puede ser una forma sencilla de demostrar la VCSI, observando el llenado de la aurícula derecha a través del seno coronario.
Síndrome de la Vena Cava Superior (SVCS)
El síndrome de la vena cava superior (SVCS) es una condición clínica que se manifiesta por signos y síntomas derivados de la obstrucción del flujo sanguíneo en la VCS. Esta obstrucción puede ser causada por compresión, invasión o trombosis del vaso.
En la actualidad, las neoplasias malignas son la causa predominante del SVCS, representando hasta el 90% de los casos. El carcinoma de pulmón es el tumor más frecuente, seguido por linfomas y metástasis de otros tumores intratorácicos. Históricamente, causas benignas como aneurismas sifilíticos o mediastinitis tuberculosas eran más comunes, pero con el advenimiento de los antibióticos, su incidencia ha disminuido significativamente.

Causas del SVCS
Las causas del SVCS se pueden clasificar en malignas y no malignas:
- Causas Malignas (90%):
- Carcinoma de pulmón (microcítico y no microcítico)
- Linfomas (Hodgkin y no Hodgkin)
- Metástasis de otros tumores
- Tumores intratorácicos primarios (mesoteliomas, timomas)
- Causas No Malignas (10-15%):
- Bocio (causa no maligna más frecuente)
- Trombosis primaria de la VCS
- Pericarditis constrictiva
- Mediastinitis esclerosante idiopática
- Aneurismas (aórticos, sifilíticos)
- Procesos infecciosos (tuberculosis)
Anatomía y Fisiopatología del SVCS
La VCS, un vaso de paredes delgadas y baja presión, se encuentra en el mediastino superior, rodeada de cadenas ganglionares. Cualquier proceso expansivo en esta área puede comprimir o invadir la vena, obstruyendo el drenaje venoso de la parte superior del tórax, cabeza y cuello. La vena ácigos actúa como una importante vía colateral, pero su capacidad de drenaje puede ser superada.
La obstrucción provoca un aumento de la presión venosa, lo que lleva a la dilatación de las venas colaterales, plétora facial, edema, cianosis y síntomas neurológicos como cefaleas y alteraciones de la conciencia.
Manifestaciones Clínicas del SVCS
El inicio de los síntomas suele ser progresivo, desarrollándose a lo largo de semanas. Los síntomas más comunes incluyen:
- Disnea (dificultad para respirar)
- Sensación de plenitud o hinchazón en la cabeza y el cuello
- Hinchazón del tronco y las extremidades superiores
- Edema facial
- Ingurgitación de las venas del tórax y el cuello
- Cianosis
- Dolor torácico, tos y disfagia (menos comunes)
Los síntomas pueden agravarse al inclinarse hacia adelante, agacharse o acostarse. Si hay edema cerebral, pueden presentarse cefaleas intensas, confusión y coma, lo que constituye una emergencia médica.

Diagnóstico del SVCS
El diagnóstico clínico suele ser evidente. Las exploraciones complementarias se determinan según la sospecha clínica y la posible causa subyacente:
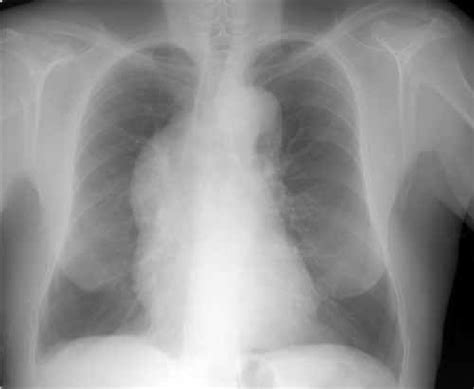
- Radiografía de tórax: Puede mostrar ensanchamiento mediastínico superior (hallazgo más frecuente), masa hiliar o derrame pleural.
- Tomografía Computarizada (TC) de tórax: Proporciona información detallada sobre la VCS, sus tributarias y otras estructuras mediastínicas, siendo fundamental para la planificación del tratamiento, especialmente la radioterapia.
- Resonancia Magnética (RM): Ofrece información similar al TC y es una técnica no invasiva.
- Flebografía: Permite evaluar la localización exacta de la compresión, el estado de las colaterales y determinar si la vena está completamente obstruida o estenótica. Es útil antes de procedimientos endovasculares.
- Diagnóstico Histológico: Es crucial para determinar la causa, especialmente en casos malignos. Se puede obtener mediante citología de esputo, broncoscopia, biopsia de ganglios, toracocentesis, mediastinoscopia o biopsia con aguja fina guiada por TC.
Tratamiento del SVCS
El tratamiento del SVCS tiene como objetivos aliviar los síntomas de la obstrucción y, en casos malignos, tratar la enfermedad subyacente.
Medidas Generales y Tratamiento de Soporte:
- Elevar la cabeza del paciente para reducir la presión hidrostática.
- Tratamiento con glucocorticoides (ej. dexametasona) para reducir la inflamación.
- Uso de diuréticos de asa para manejar el edema.
Tratamiento Específico:
- Radioterapia: Efectiva para reducir los síntomas en tumores malignos, especialmente si no se ha recibido radioterapia previa.
- Quimioterapia: Tratamiento de elección para tumores quimiosensibles como el cáncer de pulmón microcítico, linfomas y tumores de células germinales.
- Angioplastia o colocación de prótesis endovascular (stent): Ofrece un alivio rápido de los síntomas en casos graves o de urgencia. Puede realizarse incluso antes de tener el diagnóstico etiológico.
- Terapia trombolítica: Indicada en casos de trombosis aguda (síntomas de menos de 2 días) debida a catéteres.
En casos de VCSI que drenan en la aurícula izquierda y causan síntomas significativos, el tratamiento puede incluir la corrección quirúrgica o procedimientos percutáneos para ocluir la vena anómala.
Conferencia: Paciente con Síndrome de Vena Cava - Dra. Laura Isabel Varela
La esperanza de vida en pacientes con SVCS depende en gran medida de la patología subyacente. En casos malignos, la supervivencia varía según el tipo y estadio del tumor.