El cerebro humano es una estructura fascinante, y una de sus partes más cruciales para la comunicación interhemisférica es el cuerpo calloso. Esta compleja red de fibras nerviosas juega un papel vital en la integración de la información y el funcionamiento coordinado de ambos hemisferios cerebrales. Sin embargo, diversas condiciones pueden afectar su desarrollo y función, llevando a una serie de desafíos neurológicos.
Se llama cuerpo calloso al principal conjunto de fibras nerviosas que une ambos hemisferios cerebrales. Esta estructura está formada fundamentalmente por axones neuronales recubiertos de mielina, con lo que forman parte de la sustancia blanca del cerebro. Dentro de la sustancia blanca se considera al cuerpo calloso una comisura interhemisférica, ya que conecta e intercambia información entre estructuras de los distintos hemisferios. Esta estructura se encuentra en la línea media del cerebro, situándose en el fondo de la cisura interhemisférica, y estando en su mayor parte oculta a la observación externa al ser parcialmente tapada por la corteza.

Las zonas conectadas por esta estructura del encéfalo son en su mayoría zonas corticales, si bien con algunas excepciones. Si bien se considera el cuerpo calloso una única estructura, se ha dividido tradicionalmente en varias partes.
- Rostrum: Situada en la parte frontal inferior del cuerpo calloso, se trata de la parte más anterior de esta estructura.
- Genu: Se trata de la parte del cuerpo calloso que se curva hacia el interior del cerebro, dirigiéndose antes hacia los lóbulos frontales para formar en fórceps menor.
- Cuerpo: Posteriormente al genu o rodilla, se encuentra el cuerpo, que termina engrosándose en su parte posterior.
- Esplenio: La parte más posterior y final del cuerpo calloso está formada por las fibras de las que constan terminan asociándose a otras fibras de proyección y asociativas. Se conecta con el lóbulo occipital para formar el fórceps mayor, y también se vincula al ventrículo lateral hasta el punto de formar una de sus paredes inferiores.
Funciones Clave del Cuerpo Calloso
La principal función del cuerpo calloso es la de transmitir la información de un hemisferio a otro, permitiendo la comunicación interhemisférica. En este sentido también tiene vinculación con el aprendizaje y el procesamiento de la información, al unir y ejercer de enlace entre los diferentes núcleos cerebrales. Además, algunos estudios manifiestan que al margen de esta función el cuerpo callosos también influye en la visión, concretamente en el movimiento ocular, al ser transmitida a través de él la información sobre los músculos del ojo. El cuerpo calloso es una estructura importante a la hora de integrar la información recibida y procesada por ambos hemisferios cerebrales.
Además, a nivel sensorial pueden producirse alteraciones significativas. Por ejemplo, se ha demostrado que lesiones posteriores del cuerpo calloso pueden provocar severas dificultades para realizar discriminaciones entre estímulos somáticos, provocando agnosias somáticas o falta de reconocimiento a partir de estímulos táctiles. El ejemplo más típico es la de la epilepsia resistente, en que se emplea el seccionamiento de partes del cuerpo calloso como método de reducción de crisis epilépticas graves, impidiendo que los impulsos epileptoides viajen de un hemisferio a otro.

Alteraciones del Cuerpo Calloso: Agenesia y Otras Malformaciones
Las alteraciones del cuerpo calloso tienen una prevalencia en general de 1 por 1.000 nacidos vivos, estas alteraciones se encuentran en un 2-3 % de los niños con discapacidad o alteraciones del neurodesarrollo. Dentro de estos trastornos se incluyen la agenesia, la disgenesia, la hipoplasia y la hiperplasia. Debido a que estas alteraciones se asocian en un gran porcentaje con diferentes anomalías cerebrales y síndromes es relevante realizar un adecuado abordaje diagnóstico prenatal. Existen varios signos clave en la ecografía prenatal que permiten determinar si existe alguna alteración en el cuerpo calloso. La resonancia magnética se indica en casos de sospecha de alguna alteración en la ecografía prenatal y permite evaluar de manera más específica si existe alguna anomalía cerebral adicional.
La agenesia del cuerpo calloso (ACC) es la falta de formación de la región cerebral llamada cuerpo calloso, producto de una alteración en el desarrollo embrionario a partir de la semana 20 que ocasiona la falta parcial o total de este importante haz de fibras interhemisféricas cerebrales. Esta condición clínica fue descrita por primera vez por Albert Schinzel en 1979. Desde el punto de vista etiopatogénico se le atribuye a múltiples factores de orden genético, incluyen errores cromosómicos, infecciones prenatales y otros factores relacionados con el entorno prenatal, tales como el consumo de alcohol en la madre. Se ha identificado, a través de la secuenciación del exoma completo (WES), dos mutaciones genéticas en el cromosoma X.
Desde el punto de vista clínico pueden presentar crisis convulsivas frecuentes (tipo motora, clónica), macrocefalia, hipertelorismo, parálisis cerebral, déficit neurológico focal, síndrome de desconexión. Debido a esto el abordaje terapéutico no se encuentra estandarizado en tanto que depende de las características de cada paciente y las comorbilidades, los compromisos o déficits neurológicos, cognitivos, sociales, de comportamiento, entre otros.

La ACC es considerada una de las malformaciones cerebrales más frecuentes, con una prevalencia estimada en 1 de 4000 nacidos vivos. La ACC aislada parece estar relacionada con un pronóstico más favorable que la ACC asociada, ya que cuenta con hasta un 80% de casos con un pronóstico bueno. No obstante, debe informarse a los padres de que pueden presentar dificultades de aprendizaje (asociadas a lentitud, déficit de atención) que requieren rehabilitación apropiada. En este sentido se comprende destacar que suele observarse el riesgo de esta malformación dependiendo de las comorbilidades que susciten tal es el caso de las visuales, retardo mental global del desarrollo, alteraciones a nivel nutricional, trastornos del comportamiento, deterioro cognitivo, entre otros.
Estudio de Caso: Evolución Clínica de un Paciente con ACC
Se describe la evolución clínica de cuatro años del caso de un paciente atendido de urgencia, por primera vez, a los 17 días de nacido, con manifestaciones de crisis convulsiva y desnutrición. Durante su hospitalización, exámenes de neuroimágenes condujeron al diagnóstico de Agenesia del cuerpo calloso (ACC). Se trata de un menor de 4 años, con antecedentes de múltiples hospitalizaciones desde sus primeros días de nacido, por crisis epilépticas, y problemas para tragar. Al realizar la exploración respectiva se observa retraso en el desarrollo psicomotor: sostén cefálico a los 5 meses y dificultades para la sedestación, síndrome febril agudo y microcefalia. Tratado farmacológicamente con fenobarbital 25 mg 1 diaria vía oral.
El seguimiento del caso se desarrolló a través de la recolección de información documental con fuentes primarias como lo es la historia clínica, combinado con observación directa, entrevistas con los familiares y algunos profesionales de atención domiciliaria, consulta externa. Se realizó un análisis de tipo longitudinal, en tanto se hizo seguimiento al caso durante cuatro años, se fueron contrastando los hallazgos clínicos, con los diferentes signos y síntomas, y el desarrollo del niño en el tiempo observado. El compromiso de los padres en las asistencias médicas periódicas ha sido el esperado, sin embargo, tropiezan con el obstáculo de solo contar con un régimen subsidiado, no contributivo, lo que ha traído como consecuencia que los tratamientos se trunquen, los trasladen de empresa prestadora de servicios de salud, entre otros inconvenientes.
Con respecto a su evolución psicomotriz, el niño se sienta, gatea, agarra objetos, come solo, lo que indica que ha superado por completo los problemas de deglución. En relación a la problemática expuesta, en el diagnóstico de ACC, del caso en estudio, los síntomas iniciales se manifiestan con episodios convulsivos y dificultad para tragar a los 17 días de nacido, por ello, a través de múltiples estudios y pruebas de imagenología se logra confirmar tempranamente el diagnóstico. Los hallazgos en el caso sugieren que a más temprana edad se logre, la detección del cuadro, los logros serán mucho más alentadores y de mejor pronóstico para el paciente.
Florencia, la excepción a la regla (Agenesia del Cuerpo Calloso)
Cabe destacar, la participación de todo un equipo de profesionales en salud, incluyendo un equipo Psicosocial conformado por psicología y trabajo social, realizaron una intervención basada en los parámetros de la técnica de modificación de conducta (cognitivo, comunicacional y emocional y psicoeducación) encontrando retraso mental global del desarrollo, además se reforzó proceso de aprendizaje, habilidades sociales y entrenamiento a los padres en el manejo de respuesta automática en tareas concretas y básicas. Se concluye que la importancia del caso radica en que las estrategias interdisciplinarias utilizadas en el tratamiento han generado cambios significativos en la evolución clínica de ACC.
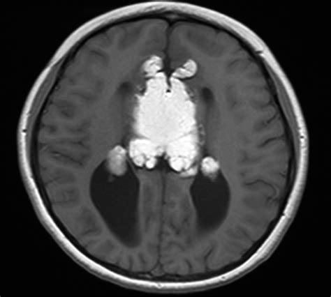
Lipoma del Cuerpo Calloso: Una Rara Entidad
El lipoma intracraneal es una rara entidad descrita por primera vez en 1856 por von Rokitansky en una necropsia. Representan el 0,1-0,5% de todos los tumores cerebrales primarios. De estos la mayoría se localizan en la cisura interhemisférica o cisterna pericallosa a lo largo del margen del cuerpo calloso. Son lesiones formadas por tejido graso que podrían ser el resultado de la persistencia anormal y falta de diferenciación de la meninx primitiva embrionaria durante la formación de la cisterna subaracnoidea. También pueden contener colágeno, células gliales y vasos sanguíneos. En ocasiones la arteria cerebral anterior y sus ramas pueden estar incorporadas dentro de la lesión. Se describen dos variantes, los de morfología tubulonodular y los curvilíneos. Pueden asociarse a agenesia parcial o completa del cuerpo calloso u otras malformaciones del SNC (fórnix hipoplásico, espina bífida, mielomeningocele, etc).
Son asintomáticos hasta en un 50% de los casos y cuando dan manifestaciones clínicas suelen cursar con epilepsia en ocasiones refractaria a tratamiento, cefalea o mareos. Se considera que el tratamiento quirúrgico está contraindicado en la mayoría de los casos por la alta morbilidad que conlleva la cirugía. En el TC presentan densidad grasa (-80 a -110UH) y en la RM intensidad de señal muy elevada en T1 y algo menos elevada en T2, usualmente sin realce tras la administración de contraste, aunque puede haber captación heterogénea, con atenuación de la señal en las secuencias con supresión grasa. Si se encuentran parcialmente calcificados pueden “florecer” en secuencias eco de gradiente.

Se describe el caso de una mujer de 38 años sin antecedentes personales de interés, diagnosticada de migrañas sin aura con una frecuencia de una crisis a la semana. A la exploración física no presenta focalidad neurológica ni otros datos de organicidad, salvo un episodio de pérdida de consciencia de segundos de duración, con recuperación total posterior, en relación con una de las crisis de migraña. La exploración neurológica no presentaba alteraciones. En la RM cerebral realizada se aprecia en los cortes sagitales una lesión curvilínea que rodea al cuerpo y al esplenio del cuerpo calloso de aproximadamente 8 cm de longitud, marcadamente hiperintenso en T1, hiperintenso en FLAIR con depósitos cálcicos en secuencia T2* eco de gradiente lo que produce un efecto de “florecimiento” del mismo. No se evidencian alteraciones vasculares en el estudio angio-RM. El cuerpo calloso presenta una morfología conservada. En el resto del estudio no se aprecian alteraciones de interés salvo un quiste de glándula pineal de 10 mm. Actualmente la paciente se encuentra en seguimiento por neurología, en tratamiento con rizatriptán de 10 mg para la migraña, con mejoría clínica y disminución de la frecuencia de las crisis.
tags: #exploracion #cuerpo #calloso